|
―■―■―■―■―■―■―■―■―■―■―■―■―■―■―■―
2021年も早いもので、折り返しが近づいています。「一年の計は元旦にあり」と、年初に立てた計画や目標の進捗をここらで振り返ってみるのも良いかもしれませんね。今号も大阪大学の様々な話題をお届けしますので、本マガジンで母校を懐かしんでいただければ幸いです。
―■―■―■―Vol.104(2021年6月18日発行)―■―■―■―
【1】阪大ニュースフラッシュ - 次期総長予定者に西尾章治郎氏が決定 - HEARTROID PROJECTが全国発明表彰「未来創造発明奨励賞」を受賞 - 新型コロナウイルスの感染を増強する抗体を発見 - 「大阪大学発ベンチャーの紹介動画」を公開
【2】卒業生ニュース -「転職先は“女流義太夫” 江戸期から続く“和風ひとりオペラ”の奥深さ」―竹本越里さん(大阪大学NewsLetter No.84より)
【3】在学生も元気です - 工学研究科学生が「日本機械学会 関西支部定時総会講演会 ベストポスター賞」を受賞
【4】同窓会トピックス - 「第24回大阪大学経済学部同窓会総会」オンライン開催のご案内
【5】大阪大学イベント情報 - 合評会 地理哲学ドゥルーズ&ガタリ『哲学とは何か』について(6月26日) - とどけ!WPIの最新研究~WPI presents 教育関係者のための研究最前線講座2021~(6月26日、7月3日) - 理学研究科公開講座「Science Night 2021」 第3回「原子核と元素合成の秘密」(7月21日)
【6】未来基金ニュース - クラウドファンディング「コロナ禍における安心・快適な患者搬送をめざして~最後の砦を守る~」達成の御礼
【7】大阪大学創立90周年・大阪外国語大学創立100周年記念事業 - 大阪大学総合学術博物館 大学創立周年記念展『街に生きる学問‐学都大阪の礎・つなぎあう想い‐』(開催中~2021年8月10日)
―■―■―■―■―■―■―■―■―■―■―■―■―■―■―■
【1】阪大ニュースフラッシュ ◆ 次期総長予定者に西尾章治郎氏が決定 現西尾章治郎総長の任期満了に伴う総長選考について、令和3年5月25日開催の総長選考会議において、選考の結果、西尾章治郎氏を総長予定者に決定しました。(任期:令和3年8月26日~令和7年3月31日) ⇒詳細はこちら
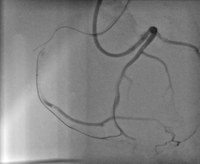
◆ 「3Dプリンタを用いたX線透視対応心臓カテーテルシミュレーターの発明」 ――― HEARTROID PROJECTが全国発明表彰「未来創造発明奨励賞」を受賞 「令和3年度全国発明表彰」(公益社団法人発明協会主催)において、大阪大学大学院医学系研究科循環器内科学講座の坂田泰史教授、大阪大学国際医工情報センターの岡山慶太特任講師(常勤)らの「3Dプリンタを用いたX線透視対応心臓カテーテルシミュレーターの発明」が「未来創造発明奨励賞」を受賞しました。未来創造発明奨励賞は中小・ベンチャー企業並びに大学及び公的研究機関に係わる発明が対象で、特に優秀と認められる発明に贈られます。 また、この受賞と合わせて、大阪大学が「未来創造発明貢献賞」を受賞しました。なお、今回の受賞で大阪大学は3年連続での受賞となります。 ⇒詳細はこちら

写真左:本発明による心臓カテーテルシミュレーター 写真右:心臓カテーテルシミュレーターを用いたX線透視下での手術画像
◆ 新型コロナウイルス感染を増強する抗体を発見 ――― 患者由来の抗体解析により、荒瀬教授中心のグループ 大阪大学の荒瀬尚教授を中心とした微生物病研究所・蛋白質研究所・免疫学フロンティア研究センター・感染症総合教育研究拠点・医学系研究科等から成る研究グループは、COVID-19患者由来の抗体を解析することにより、新型コロナウイルスに感染すると感染を防御する中和抗体ばかりでなく、感染性を高める感染増強抗体が産生されていることを初めて発見しました。本研究成果は2021年5月24日(月)以降に米国科学雑誌Cell誌に掲載されました。 ⇒詳細はこちら
◆ 大学研究を深化させる「エコシステム」構築へ ――― 「大阪大学発ベンチャーの紹介動画」を公開 大阪大学共創機構は、大学の研究成果を社会実装し、社会からのフィードバックによって大学の研究を更に深化させる「研究開発エコシステム」の構築を目指し、技術シーズの発掘・育成をはじめとしたプレ・インキュベーション活動を通じて、社会実装の1つの方法である大学発ベンチャーの起業を支援しています。 この度、大阪大学の研究成果を社会実装した大阪大学発ベンチャーの活動をご紹介する動画が完成しました。今後も随時アップロードして参ります。起業に興味のある方のみならず、多くの方々に是非大阪大学発ベンチャーを深く知って頂く機会になれば幸いです。 ⇒詳細はこちら
【2】卒業生ニュース ◆ 「転職先は“女流義太夫” 江戸期から続く“和風ひとりオペラ”の奥深さ」 ―竹本越里さん(2002年文学研究科修了)(大阪大学NewsLetter No.84より) 東京・日本橋。華やかなショッピングスポット・コレド室町からほど近いビジネス街の一角に、一般社団法人「義太夫協会」がある。11月下旬、演芸場「お江戸日本橋亭」には、平日昼間にもかかわらず約40人の観客が舞台に向かい、耳と目をそばだてていた。感染症対策が講じられ間引かれた客席は満席。視線の先にいるのは女流義太夫の太夫(語り)と三味線の2人。太夫の竹本越里さんは大学院まで中国哲学を研究し、出版社勤務を経て30代でこの道に入った異色の経歴の持ち主だ。 ⇒詳細はこちら

【3】在学生も元気です ◆ 工学研究科学生が「日本機械学会 関西支部定時総会講演会 ベストポスター賞」を受賞 機械工学専攻の芝原研究室・博士前期課程の礒部 佑磨さん(M2)が、日本機械学会関西支部第96期定時総会講演会メカボケーション学生研究発表セッション「ベストポスター賞」を受賞しました。 本賞は、同学会における優れた研究発表を表彰するものです。礒部さんは「伝熱面における微細構造が蒸発に与える影響に関する分子動力学的研究」(機械工学専攻 植木祥高助教らとの連名)と題した研究が評価され、本賞を受賞しました。 ⇒詳細はこちら

【4】同窓会トピックス ◆ 「第24回大阪大学経済学部同窓会総会」オンライン開催のご案内 会報「待兼山」第37号にてご案内しておりました第24回総会は、残念ながらコロナ禍収束の見通しがたたないなか4月19日の代表幹事会で検討協議の結果、オンライン開催に変更することといたしました。 ⇒開催要領はこちら
【5】大阪大学イベント情報 ※新型コロナウイルス感染症の感染拡大状況によっては、開催が中止または変更となる場合がございます。詳細につきましては、各イベントHP等をご確認ください。
◆ 合評会 地理哲学ドゥルーズ&ガタリ『哲学とは何か』について(6月26日) 人間科学研究科附属未来共創センターの新プロジェクト「哲学の実験オープンプロジェクト」の企画として、ロドルフ・ガシェ『哲学とは何か』の合評会が行なわれます。同書は、ドゥルーズ『哲学とは何か』についての本です。コメンテータとして本学人間科学研究科より檜垣立哉教授、ほかに宮﨑裕助氏、平田公威氏が出演されます。一般卒業生も対象としたオープン企画ですので、どなたでもZoomで参加できます。哲学、現代思想に興味のある方は、ぜひどうぞ。 ○日時:2021年6月26日(土)14:00-17:00 ○開催形式:Zoom(要事前申込) ○参加費:無料 ○申込締切:随時可。チラシ上コードからリンク先のフォームにて申し込むとZoomのIDとパスワードが発行されます。 ⇒詳細はこちら

↑画像からチラシPDFにリンクします。
◆ とどけ!WPIの最新研究~WPI presents 教育関係者のための研究最前線講座2021~(6月26日、7月3日) 6月26日(土)、7月3日(土)に、世界トップレベル研究拠点プログラム(WPI)の6拠点が主催する、教育関係者を対象としたオンラインセミナー「とどけ!WPIの最新研究~WPI presents 教育関係者のための研究最前線講座2021~」を開催します。 「一押しの最新研究」や「学校の教科と研究の関わり」「研究者の日常」など、研究に興味のある方はもちろん、生徒との科学の話題を探している方にもお楽しみいただけるイベントです。今回は、授業中の話題として活用いただけるように、「物理」「化学」といった科目ごとに開催いたします。 6月26日には、大阪大学免疫学フロンティア研究センターの畑澤招へい教授による講座が開講されます。ぜひご参加下さい! ○日時:6月26日(土)15:00~17:00 7月3日(土)15:00~17:00 ○開催形式:Zoom Meetingを用いたオンライン開催 ○対象: 教育関係者(学校教諭)・一般 ○参加費:無料 ○申込締切:各開催日の3日前まで ⇒詳細はこちら ⇒お申込みはこちら

↑画像からチラシPDFにリンクします。
◆ 理学研究科公開講座「Science Night 2021」 第3回「原子核と元素合成の秘密」(7月21日) わたしたちの宇宙が誕生したとき、まだ宇宙には一切の元素が存在していませんでした。しかし、現在の宇宙には様々な元素が存在しています。全ての元素は137億年にわたる宇宙の進化の過程で原子核反応によって生み出されてきました。つまり、宇宙の歴史は元素合成の歴史でもあり、宇宙の成り立ちを明らかにするためには、原子核のことを詳しく調べる必要があるのです。今回の講座では、広大な宇宙とミクロな原子核の不思議な関係についてお話したいと思います。 ○日時:7月21日(水)18:00~19:30 ○講師:川畑 貴裕 教授(理学研究科物理学専攻) ○開催形式:オンライン(ビデオ会議ソフト「Zoom」を利用) ※会場での開催は中止となりました。 ○定員:250名 ○受講料:1講義~数講義を選択受講 1,600円(1講義当たり) ○申込締切:7月7日(水) ⇒詳細・お申込みはこちら

↑画像からチラシPDFにリンクします。
【6】未来基金ニュース ◆ クラウドファンディング「コロナ禍における安心・快適な患者搬送をめざして~最後の砦を守る~」達成の御礼
皆さま方からのたくさんのご支援、誠にありがとうございました
本プロジェクトは3月22日(月)から5月31日(月)まで70日の間、400名以上の方々から、1,800万円を超えるご支援をいただき、大きな成功を収めることができました。これも皆様お一人お一人からのご支援の賜物と存じ、心より御礼申し上げます。本当にありがとうございました。 本プロジェクト開催中はちょうど新型コロナウイルス感染症の第4波のピークを迎えていたため、我々医療従事者にとっては大変厳しい状況が続きましたが、皆様から毎日いただきました温かいお言葉に感動、感謝しながら、なんとか本プロジェクトを進めることができました。 今後は、メインのオリジナルアイソレーターの製作を早急に進める他、スタッフの感染防護対策や、DMAT活動支援を含む本院の災害対策にも頂いたご支援を役立てさせていただきたく存じます。今後の進捗状況や返礼品に関しては新着情報として適宜アップさせていただきますので引き続きご覧いただければ幸いです。 これからも、皆さまのご支援・ご期待に応えることが出来ますよう、スタッフ一同、更に努力いたしますので、引き続き応援の程、何卒よろしくお願いいたします。
令和3年6月 大阪大学医学部附属病院高度救命救急センター センター長(代理) 小 倉 裕 司 同 スタッフ一同
********** 大阪大学は、教育・研究活動の資金調達のためにクラウドファンディングを活用する取り組みを実施しております。 皆様の温かいご支援をよろしくお願いいたします。 大阪大学クラウドファンディング特設ページはこちら
【7】大阪大学創立90周年・大阪外国語大学創立100周年記念事業 ※新型コロナウイルス感染症の感染拡大状況によっては、開催が中止または変更となる場合がございます。詳細につきましては、各イベントHP等をご確認ください。
◆ 大阪大学総合学術博物館 大学創立周年記念展『街に生きる学問‐学都大阪の礎・つなぎあう想い‐』(開催中~2021年8月10日) 2021(令和3)年、大阪大学の創立90周年、大阪外国語大学の創立100周年を迎えました。市民をはじめとした人びとの想いをつなぐことにより生まれ育まれた両大学が、学都大阪の礎となり、世界に羽ばたく大学としてどのように発展してきたのか、一世紀にわたるその歩みを振り返る展覧会を開催しております。 この展覧会では、大阪大学の精神的源流「適塾」を主宰した緒方洪庵先生が用いられた「薬箱」(壮年期使用・19世紀 特別展示)や大阪外国語大学(大阪外国語学校)設置資金の寄付者 林蝶子女史の「顕彰銅板」(1922年)等、普段ご覧いただけない貴重な資料を多数展示しております。 大阪大学・大阪外国語大学を改めて知る機会として、ぜひ豊中キャンパス総合学術博物館待兼山修学館までご来館くださいますようお願いいたします。 なお、ご来館の際は、感染防止のためのお願いがございますので、こちらからご確認ください。 また、ほんの一部ですが、デジタルミュージアムでも展示内容を公開しております。こちらからご覧ください。 ○会期:2021年8月10日(火)まで ○開館時間:11:00~16:00(入館は15:30まで) ※ 休館日:日曜日・祝日 ※ 6月14日現在、新型コロナウイルス感染症の拡大を防止に関する大阪府の要請により、平日(月曜日から金曜日まで)のみ開館となっております。 ○会場:大阪大学総合学術博物館 待兼山修学館 ※入館無料 ⇒詳細はこちら

↑画像からチラシPDFにリンクします。
|